
Healthy teeth start with healthy habits — and professional care.
Even with daily brushing and flossing, plaque and bacteria can build up over time. That’s where professional dental hygiene services in Thornhill play a critical role.
At Mina Family Dentistry, we provide comprehensive dental hygiene care, helping you prevent cavities, gum disease, and long-term dental problems.
👉 Call now: (289) 597-7191
👉 Book your hygiene appointment today
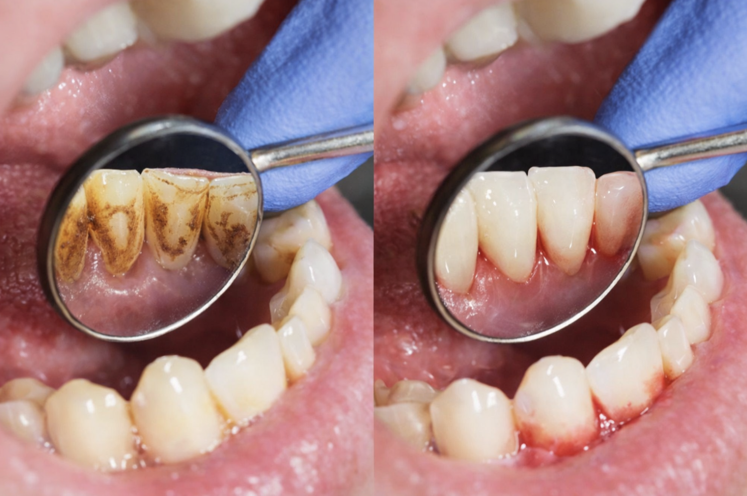
Dental hygiene includes professional teeth cleaning, oral health assessments, and preventive care designed to maintain healthy teeth and gums while preventing dental diseases.

Dental hygiene is not just about clean teeth — it’s about total oral health.
👉 Good hygiene today prevents major problems tomorrow.
We focus on gentle, effective, and personalized care.
We proudly serve Thornhill, Vaughan, and Richmond Hill.
We evaluate your teeth, gums, and overall oral condition.
Removal of plaque and tartar buildup.
Smooths teeth and removes surface stains.
Fluoride or other treatments if needed.
👉 Often combined with a
routine dental checkup in Thornhill for complete care.
| Feature | Professional Hygiene | At-Home Care |
|---|---|---|
| Tartar Removal | ✅ Yes | ❌ No |
| Deep Cleaning | ✅ Yes | ❌ No |
| Early Detection | ✅ Yes | ❌ Limited |
| Gum Protection | Strong | Moderate |
You may need a professional cleaning if you notice:
👉 These could be early signs of gum disease.
If needed, we also provide
gum disease treatment in Thornhill
Dental hygiene services are affordable and preventive.
Costs depend on:
💡 We offer:
👉 Many services may be covered under CDCP — visit our
For most patients:
👉 Every 6 months
Some may need more frequent visits if they have:
We provide hygiene care for:
👉 Learn more about our
family dentist in Thornhill
We understand dental anxiety.
That’s why we provide:
👉 Visit our
pain-free dentist in Thornhill
Located at World on Yonge, we serve:
Near:
If you’re searching:
Oral health is connected to your overall health.
Good dental hygiene can help reduce risks related to:
👉 A healthy mouth supports a healthy body.
Skipping cleanings can lead to:
👉 In severe cases, you may need our
emergency dentist in Thornhill
Teeth cleaning is part of dental hygiene, which also includes preventive care and assessments.
Typically 30–60 minutes.
No, it is usually comfortable and pain-free.
Many preventive services are covered depending on eligibility.
Yes, removing plaque and bacteria significantly improves breath.
Yes, we welcome patients of all ages.
We will create a personalized plan to restore your oral health safely.
Brush twice daily, floss, and visit regularly.
Your smile deserves expert care.
👉 Call Mina Family Dentistry: (289) 597-7191
👉 Book Your Visit Today

Dr. Neda Kadivar, a highly experienced dentist with a D.D.S. from the prestigious Mashad University of Medical Sciences, honed her skills by working with top dental professionals for seven years after graduation, eventually establishing a successful practice in Iran.
Following her move to Canada, she excelled in the National Dental Examining Board exams in 2014 on her first attempt, maintaining an active presence in Toronto. She is deeply committed to improving her patients’ oral health, smiles, and confidence through exceptional dental services, guided by a philosophy of trust, respect, and openness.
Proficient in all areas of dentistry, Dr. Neda focuses on root canal treatment, prosthodontics, restorative, and cosmetic dentistry, providing high-quality care through technological advancements. She stays updated by attending dental seminars and courses, ensuring tailored care with predictable outcomes.

Welcome to precision dentistry with Dr. Mehdi Adibrad—an accomplished dentist based in Toronto. Graduating with top honors from the National Dental School, Dr. Adibrad holds a D.D.S. and a master’s degree in Periodontics and Implantology (from IRAN), showcasing his commitment to excellence.
With a track record of over 10 published articles in renowned journals, Dr. Adibrad excelled as a periodontist, implantologist, and surgeon in Iran before conquering the Canadian dental landscape. His success includes topping the Canadian Assessment of Fundamental Knowledge (AFK) examination and securing a general dentistry license through the NDEB equivalency process on the first attempt.
As a member of RCDSO, ODA, and ITI, Dr. Adibrad’s focus lies in periodontal surgeries, root canal therapy, implant dentistry, and cosmetic dentistry.









